Τοξικά Νανο-σωματίδια στο αίμα του 94% 1006 εμβολιασμένων. Μελέτη Σοκ 3 Ιταλών Ιατρών.(Video)

Σε ένα συνέδριο διάρκειας 2 ωρών και 45 λεπτών στο Savigliano (CN) στην Ιταλία, στις 17 Μαΐου 2022, σχετικά με το “δικαίωμα στην επιλογή”, αυτή ήταν ίσως η κύρια αποκάλυψη που έκανε η Δρ Maria Carmen Valsania, εξειδικευμένη στη χρήση του ηλεκτρονικού μικροσκοπίου, αναφερόμενη στην ανάλυση μιας ομάδας ερυθρών αιμοσφαιρίων ενός εμβολιασμένου ατόμου.
Η Valsania επισημαίνει ότι τα ερυθρά αιμοσφαίρια έχουν μέγεθος 7 μικρόμετρα, ενώ “αυτό το συνεστραμμένο αντικείμενο έχει μήκος πάνω από 40 μικρόμετρα. Ένα μικρόμετρο είναι ένα εκατομμυριοστό του μέτρου, αλλά αυτή η συνεστραμμένη δομή είναι τεράστια“. Στη συνέχεια παρουσιάζει τα επιμήκη νανοσωματίδια γραφενίου και δείχνει την ομοιότητά τους με εκείνα που αναλύθηκαν στο μικροσκόπιο, στα οποία εντόπισε συγκέντρωση άνθρακα έως και 63 %.
Το γραφένιο, στην πραγματικότητα, είναι ένα αλλότροπο του άνθρακα που λαμβάνεται με σύνθεση από γραφίτη. Πρόκειται για μια μονοατομική δομή σε εξαγωνικά κυψελωτά φύλλα που μπορούν να συσσωματωθούν μεταξύ τους για να σχηματίσουν πιο σύνθετες δομές.
Αυτό που προέκυψε κατά τη διάρκεια της βραδιάς που διοργάνωσε στις 17 Μαΐου 2022 ο Cristian Luca Atzori μαζί με επιφανείς προσκεκλημένους όπως η Dr Silvana De Mari, ιδρύτρια της Brigata dell’Ovvio, και η Luciana Beccaria, επικεφαλής της κοινωνικής ομάδας Il Filo d’Arianna, κρούει τον κώδωνα του κινδύνου για το οξείδιο του γραφενίου στα εμβόλια.
Έχει το μεγάλο προνόμιο να έχει ανιχνεύσει την παρουσία του στο αίμα των εμβολιασμένων. Έχει το μικρό μειονέκτημα ότι δεν βασίζεται σε καμία δημοσιευμένη επιστημονική μελέτη. (Η έρευνα δημοσιεύθηκε στη συνέχεια στο περιοδικό “Disinfection”, όργανο της A.T.A. – Association of Toxicologists and Environmental Technicians).
Μικροσκοπική ανάλυση σκοτεινού πεδίου του αίματος 1.006 συμπτωματικών ατόμων μετά από εμβολιασμό με δύο τύπους εμβολίου mRNA

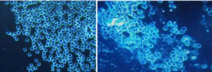
“Περίπτωση Νο 1 – Άνδρας 33 ετών με αθλητική σωματική διάπλαση, στο παρελθόν χωρίς κάποια ασθένεια. Κατά την παρατήρηση ένα μήνα μετά τη λήψη μιας δόσης εμβολίου Pfizer ανέφερε έντονη ασθένεια, συνεχή έντονο πονοκέφαλο ανθεκτικό στα κοινά φάρμακα. Διάχυτες ρευματικές αρθραλγίες με δύσπνοια κατά την άσκηση. (Εικ. 1α και 1β) Η εικόνα στα αριστερά δείχνει την κατάσταση του αίματος του ασθενούς πριν από τον εμβολιασμό, ενώ στην εικόνα στα δεξιά, 2 μήνες μετά τον εμβολιασμό, είναι εμφανή τα πιθανώς γραφενικά ενθυλακώματα εν μέσω των ερυθρών αιμοσφαιρίων που είναι έντονα συσσωματωμένα γύρω από τα εξωγενή σωματίδια, η συσσωμάτωση πρέπει να συσχετιστεί με τη μεταβολή του δυναμικού Ζ”.
Η επιστημονική υπόθεση ότι το οξείδιο του γραφενίου που προκαλεί τους θρόμβους στο αίμα ήταν το υπεύθυνο για τη δημιουργία θρόμβων, διατυπώθηκε από τρεις Ιταλούς χειρουργούς στην έρευνα “Dark-field microscopic analysis of the blood of 1006 symptomatic subjects after vaccination with two types of mRNA vaccine” (Μικροσκοπική ανάλυση σκοτεινού πεδίου του αίματος 1.006 συμπτωματικών ατόμων μετά από εμβολιασμό με δύο τύπους εμβολίου mRNA).
Πρόκειται για τον Dr. Franco Giovannini, χειρουργό, ειδικό στον βελονισμό, τη θεραπεία με οξυγόνο και όζον, τη μικροσκοπική αιμοδιαγνωστική, Centro Medico Biodiagnostica Giovannini, έδρα AMBB, Μάντοβα, τον Dr. Riccardo Benzi Cipelli, Χειρουργός, Ειδικός στην Οδοντοστοματολογία, Περιοδοντολόγος Studio BENZI Dental Clinic, Vigevano, και τέλος τον Dr. Gianpaolo Pisano, Χειρουργός, Ειδικός στην Ωτορινολαρυγγολογία, Master στην Κυτταρολογία, Ερευνητής στο Univ. UNISED.
Τα συμπεράσματα της μελέτης τους παρουσιάστηκαν στο συνέδριο που πραγματοποιήθηκε στο Savigliano (Cuneo), όπου με ένα ειδικό ηλεκτρονικό μικροσκόπιο είχε αναλύσει τα ευρήματα που παρουσίασε ο Dr. Giovannini, αναδεικνύοντας την ανώμαλη παρουσία συγκεντρώσεων άνθρακα, ένα σαφές ίχνος νανοσωματιδίων οξειδίου του γραφενίου, το οποίο είναι ένα συνθετικά εξαγόμενο αλλότροπο του εν λόγω μετάλλου.

Στην εικόνα 3, που αναφέρεται στο ίδιο θέμα: “το σύνολο των κατά πάσα πιθανότητα γραφενικών ενθυλακώσεων αποκτά κρυσταλλικά και ινώδη χαρακτηριστικά, όπως αναφέρεται και στη βιβλιογραφία – επιπλέον, είναι εμφανής μια γειτονική ζώνη επιρροής τύπου πεταλούδας-πτέρυγας, στο πλαίσιο της οποίας λαμβάνει χώρα μια κρυσταλλική οργάνωση (2 μήνες μετά τον εμβολιασμό)”.

ΔΗΜΟΣΙΕΥΣΗ ΣΤΟ ΠΕΡΙΟΔΙΚΟ ΤΟΞΙΚΟΛΟΓΙΑΣ
“Η χρήση της μικροσκοπικής ανάλυσης του φρέσκου περιφερικού αίματος σε αντικειμενοφόρο πλάκα (πλακάκι), σε σκοτεινό πεδίο, είναι μια μέθοδος μελέτης των κυττάρων του αίματος μέσω ενός οπτικού μικροσκοπίου στο οποίο εφαρμόζεται ένας ειδικός συμπυκνωτής, ικανός να αναδείξει λεπτομέρειες που διαφορετικά δεν θα ήταν ορατές, επιτρέποντας μια πρώτη εκτίμηση της υγείας των σωματοσωματιδιακών συστατικών του αίματος”, έγραψαν οι τρεις γιατροί στη μελέτη που δημοσιεύθηκε ως προεπισκόπηση στο Disinfection, ένα περιοδικό συμπλήρωμα της ND, του περιοδικού της A.T.T.A, την Ένωση Τοξικολόγων και Τεχνικών Περιβάλλοντος υπό την προεδρία του Marcello Lofrano.
Ο ίδιος ο Lofrano εξήγησε ότι η δραστηριότητα της Atta “αποσκοπεί εξ ολοκλήρου στο να καταστήσει “ασφαλή” τα κλειστά περιβάλλοντα, στον απόηχο των καταστροφικών προβλημάτων που σημάδεψαν τη μακρά διετή περίοδο της πανδημίας Covid-19″.
Και πρόσθεσε ότι “θεώρησε χρήσιμο να δημοσιεύσουμε την εργασία που θα διαβάσετε: δεν είναι ασφαλώς στις αρμοδιότητές μας να αξιολογήσουμε τον επιστημονικό αντίκτυπό της, αλλά είναι σαφές ότι οι παρατηρήσεις των συγγραφέων αντιπροσωπεύουν, τουλάχιστον, ένα “βότσαλο στη λίμνη” για περαιτέρω έρευνα, στο πλαίσιο αυτής της “διανοητικής εντιμότητας” που χαρακτήριζε πάντα και συνεχίζει να χαρακτηρίζει την ένωση”.
“Στην παρούσα μελέτη, αναλύσαμε νωπά σταγονίδια περιφερικού αίματος από τα ακροδάχτυλα 1.006 συμπτωματικών ατόμων μετά τον εμβολιασμό με εμβόλιο mRNA (Pfizer/BioNTech ή Moderna), αρχής γενομένης από τον Μάρτιο του 2021, χρησιμοποιώντας ένα οπτικό μικροσκόπιο σκοτεινού πεδίου“, αναφέρεται στην περίληψη της έρευνας των Giovannini, Benzi Cipelli και Pisano.
“Σε 12 άτομα πραγματοποιήθηκαν αναλύσεις αίματος με την ίδια μέθοδο πριν από τον εμβολιασμό, με απολύτως φυσιολογική αιματολογική εικόνα. Οι μεταβολές που διαπιστώθηκαν μετά τον εμβολιασμό με εμβόλιο mRNA ενισχύουν την υποψία ότι οι μεταβολές οφείλονται κυρίως στα ίδια τα εμβόλια.
Τέσσερις κλινικές περιπτώσεις αναφέρονται λεπτομερώς, οι οποίες επιλέχθηκαν ως συνοπτικές και αντιπροσωπευτικές του συνόλου της σειράς περιπτώσεων”, αναφέρεται περαιτέρω στη μελέτη.
ΜΕΤΑΒΟΛΕΣ ΤΩΝ ΕΡΥΘΡΩΝ ΑΙΜΟΣΦΑΙΡΙΩΝ ΣΤΟ 94 % ΤΩΝ ΕΜΒΟΛΙΑΣΘΕΝΤΩΝ
“Από τα 1.006 άτομα που αναλύθηκαν, τα 948 ή το 94 % του συνόλου εμφάνισαν, μετά τον εμβολιασμό με εμβόλια mRNA σε μέση απόσταση ενός μηνός, διάφορες μεταβολές στην κατάσταση συσσώρευσης των ερυθροκυττάρων και την παρουσία στο περιφερικό αίμα σωματιδίων διαφόρων σχημάτων και μεγεθών ύποπτης φύσης. Χρειάζονται περαιτέρω μελέτες για να προσδιοριστεί η ακριβής φύση των σωματιδίων που βρίσκονται στο αίμα, προκειμένου να εντοπιστούν πιθανές λύσεις”.
Η ανακάλυψη αυτή, όπως και εκείνη του συνεστραμμένου σκουληκιού στα ερυθρά αιμοσφαίρια που έδειξε ο μικροσκοπικός συνεργάτης τους στο συνέδριο του Savigliano, επιβεβαιώνει όχι μόνο τους ισχυρισμούς ενός Αργεντινού δικαστή σχετικά με την παρουσία οξειδίου του γραφενίου στον ορό γονιδίων αγγελιοφόρου DNA της Astrazeneca, αλλά κυρίως εκείνους του Ισπανού χημικού και ακαδημαϊκού Pablo Campra σχετικά με το εμβόλιο αγγελιοφόρου RNA της Pfizer που δημοσιεύτηκαν σε διάφορες ενημερώσεις στο επιστημονικό περιοδικό Research Gate.
Και όχι μόνο αυτό. Θυμίζει την πειραματική μελέτη για την υποθετική χρήση του οξειδίου του γραφενίου στα εμβόλια SARS-Cov-2 που διεξήγαγε το καλοκαίρι του 2020 η Δρ Ilaria Capua με άλλους Ιταλούς ερευνητές στο πλαίσιο των μελετών για τις βιοϊατρικές εφαρμογές του υλικού αυτού στο πλαίσιο του maxi-project Graphene Flagship της Ευρωπαϊκής Επιτροπής.
Το συνθετικό παράγωγο του γραφίτη πειραματίστηκε στην πραγματικότητα ως σταθεροποιητής για φορείς γονιδιακού υλικού που, πριν από τους ορούς κατά του Κόβιντ, είχαν αντιμετωπίσει επανειλημμένες αποτυχίες στη βιομηχανική βιοφαρμακολογία.
ΛΕΠΤΟΜΕΡΗΣ ΑΝΑΛΥΣΗ ΤΟΥ ΚΕΝΤΡΟΥ ΒΙΟΔΙΑΓΝΩΣΤΙΚHΣ GIOVANNINI
“Η χρήση της μικροσκοπικής ανάλυσης του φρέσκου αίματος σε αντικειμενοφόρο πλάκα σκοτεινού πεδίου επιτρέπει μια αρχική, άμεση αξιολόγηση της κατάστασης της υγείας των αιμοσφαιρικών συστατικών του αίματος. Η συμπλήρωση της ανάλυσης με τη μέτρηση του pH, του rH και του rO (δεν παρουσιάζεται στην παρούσα μελέτη) επιτρέπει τον έγκαιρο προσδιορισμό τυχόν μεταβολών, πριν αυτές αποκαλυφθούν από τις παραδοσιακές εξετάσεις πήξης ( di-dimer, PT, PTT, ινωδογόνο, αιμοπετάλια κ.λπ.)”.
Διαβάζουμε στην εισαγωγή της μελέτης στην οποία αναφέρονται τα αποτελέσματα της μικροσκοπικής ανάλυσης σκοτεινού πεδίου του αίματος 1.006 ασθενών που προσήλθαν στο “Centro Medico Biodiagnostica Giovannini” για διάφορες διαταραχές μετά από εμβολιασμό με εμβόλια mRNA (Pfizer/BioNTech ή Moderna).
12 άτομα από τα 1.006 που εξετάστηκαν είχαν κάνει εξέταση περιφερικού αίματος με την ίδια μέθοδο πριν από τον εμβολιασμό (εύρος 3 ημέρες – 1 έτος περίπου). Για τα υλικά και τις μεθόδους βλέπε υποσημείωση στο τέλος του άρθρου.
Επιλέχθηκαν 4 από αυτά τα 12 υποκείμενα ως αντιπροσωπευτικά του συνόλου του ιστορικού και παρουσιάζονται λεπτομερώς με τις σχετικές φωτογραφικές εικόνες.

Στην περίπτωση 3 ως παράδειγμα, μιας 84χρονης γυναίκας, η οποία χαίρει καλής υγείας και είναι σε θέση να διαχειρίζεται μια ικανοποιητική ζωή σε σχέση με πλήρη αυτονομία, η εικόνα μικροσκοπίου αριθ. 11 της έρευνας σημειώνει ότι “Μια αρχική ελασματοειδής διαμόρφωση κρυσταλλικών νιφάδων που παραπέμπει σε πιθανώς γραφενικά ενθυλακώματα μπορεί να διακρίνεται στους πόλους του σχήματος, σύμφωνα με το γεγονός ότι το δυναμικό πεδίο είναι πιο ενεργητικό στις άκρες. (5 εβδομάδες μετά τον εμβολιασμό)”.
Οι σοβαρές ανεπιθύμητες ενέργειες ήταν αναπόφευκτες: “Στη δεύτερη δόση της Pfizer, παρουσίασε έντονη ερυθροδερμία στο πρόσωπο και το θώρακα, δραματική εντατικοποίηση του καψίματος στο στόμα, αφόρητους μυϊκούς πόνους ανθεκτικούς στην αναλγητική θεραπεία, τους οποίους ο ρευματολόγος αναγνώρισε στην τριχοειδοσκόπηση ως μια βίαιης έναρξης μορφή δερματοπολυμυοσίτιδας. Οι εξετάσεις αυτοανοσίας επιβεβαίωσαν τη διάγνωση“.
ΤΑ ΣΥΜΠΕΡΑΣΜΑΤΑ ΤΗΣ ΕΡΕΥΝΑΣ
“Στην παρούσα μελέτη, το αίμα 1.006 συμπτωματικών ατόμων μετά τον εμβολιασμό κατά του COVID με την Pfizer/BioNTech ή την Moderna αναλύθηκε με οπτική μικροσκοπία σκοτεινού πεδίου και αντίθεση φάσης.
Σε 948 άτομα από τα 1006, δηλαδή στο 94% του συνόλου των ατόμων που αναλύθηκαν, αποκαλύφθηκαν διάφορες μεταβολές στην κατάσταση συσσωμάτωσης των ερυθροκυττάρων και ανιχνεύθηκε η παρουσία εξωγενών σημειακών και αυτοφωτιζόμενων σωματιδίων στο περιφερικό αίμα στο σκοτεινό πεδίο, με φωταύγεια σημαντικά υψηλότερη από εκείνη του τοιχώματος του καλά οξυγονωμένου ερυθρού αιμοσφαιρίου και με χαρακτηριστική εμφάνιση “έναστρου ουρανού””, αναφέρουν οι τρεις χειρουργοί στα συμπεράσματά τους.
“Τα υποκείμενα που αναλύθηκαν μετά από μεγαλύτερο χρονικό διάστημα εμφάνισαν συνήθως επίσης σωληνοειδείς/ινώδεις και συχνά επίσης κρυσταλλικούς και ελασματοειδείς σχηματισμούς με εξαιρετικά πολύπλοκες και σταθερές μορφολογίες”, δηλαδή το ενοχλητικό στριφτό σκουλήκι που υπογράμμισε η ειδικός Dr. Maria Carmen Valsania, εξειδικευμένη στη χρήση του ηλεκτρονικού μικροσκοπίου, αναφερόμενη στην ανάλυση μιας ομάδας ερυθρών αιμοσφαιρίων από ένα εμβολιασμένο άτομο.
“Οι αναλύσεις αίματος δώδεκα ατόμων, που πραγματοποιήθηκαν με την ίδια μεθοδολογία πριν από τον εμβολιασμό, έδειξαν απολύτως φυσιολογική αιματολογική εικόνα. Οι μεταβολές που διαπιστώθηκαν μετά τον εμβολιασμό με το εμβόλιο mRNA ενισχύουν περαιτέρω την υπόθεση ότι οι μεταβολές οφείλονται κατ’ αρχάς στα εμβόλια mRNA”, τονίζουν οι γιατροί Giovannini, Benzi Cipelli και Pisano.

Στην Εικόνα 28 “Η φωτογραφία έχει αποσυνδεθεί από τις υπόλοιπες, επειδή αναδεικνύει με τον πιο εντυπωσιακό τρόπο την επιφάνεια αλληλεπίδρασης μεταξύ αιματολογίας και του κατά πάσα πιθανότητα σωματιδίου γραφενίου, ανήκει στην εξέταση μετά τον εμβολιασμό του Pz. 2”.
ΑΓΓΕΙΑΚΗ ΠΡΩΤΕΪΝΙΚΗ ΤΟΞΙΚΟΤΗΤΑ ΤΩΝ ΕΜΒΟΛΙΩΝ mRNA
“Οι 4 περιπτώσεις που περιγράφονται σε αυτή τη μελέτη είναι αντιπροσωπευτικές των 948 περιπτώσεων στις οποίες βρέθηκαν απολύτως ανώμαλες δομές και ουσίες. Οι μεταβολές στα ερυθροκύτταρα παρουσιάζουν τάση συσσωμάτωσης/αποσυσσωμάτωσης, στοίβαξης rouleaux, αιμόλυσης, συνθήκες που υποδηλώνουν σημαντική μεταβολή του δυναμικού Zeta. Επιπλέον, υπάρχει η τάση η φιμπρίνη να οργανώνεται σε ομάδες. Οι μεταβολές αυτές θα μπορούσαν να συσχετιστούν με διαταραχές της πήξης μετά τον εμβολιασμό κατά του COVID, που προκαλούνται επίσης από τη γνωστή αγγειακή τοξικότητα της πρωτεΐνης Spike [2,3], η οποία παράγεται από άτομα που έχουν εμβολιαστεί με εμβόλια mRNA”.
Η τοξικότητα αυτή είχε επισημανθεί τόσο από τον καθηγητή Luc Montagnier, κάτοχο του βραβείου Νόμπελ Ιατρικής, όσο και από τον συνταξιούχο συνταγματάρχη του αμερικανικού στρατού Lawrence Sellin, ειδικό στα βακτηριολογικά όπλα: και οι δύο ήταν πεπεισμένοι ότι το SARS-Cov-2 είχε αναβαθμιστεί στο εργαστήριο, όπως θεωρούσαν πιθανό και άλλοι έγκυροι ερευνητές, όπως ο πρόεδρος της επιτροπής Covid-19 του The Lancet και ο ιολόγος Giorgio Palù, πρόεδρος της Ιταλικής Υπηρεσίας Φαρμάκων (AIFA).
“Με αυτές τις αιματολογικές εικόνες, μπορεί κανείς να αναμένει την επανενεργοποίηση ογκολογικών καταστάσεων ή την αποσυμπίεση μιας φυσιολογικής γεροντικής κατάστασης προς επιταχυνόμενες μορφές μαρασμού, όπως φαίνεται να επιβεβαιώνει η περίπτωση αριθ. 4″, σημειώνουν οι τρεις χειρουργοί.
Η ανάλυσή τους είναι παρόμοια με εκείνη των ερευνητών του Πανεπιστημίου του Παλέρμο, οι οποίοι συσχέτισαν τους θρόμβους αίματος που προκαλούνται από τα εμβόλια με τη θανατηφόρα θρόμβωση σε εμβολιαζόμενους.
Χρειάζονται περαιτέρω μελέτες για να προσδιοριστεί η φύση των σωματιδίων που βρίσκονται στο αίμα, η προέλευσή τους και ο εντοπισμός πιθανών λύσεων”.
O πειραματισμός με τη χρήση του γραφενίου για βιοϊατρικούς σκοπούς νευροεγκεφαλικού ελέγχου ξεκίνησε από τη στρατιωτική υπηρεσία DARPA του αμερικανικού Πενταγώνου ήδη από την εποχή της κυβέρνησης Ομπάμα-Μπάιντεν.
Επτά χρόνια προτού ο ίδιος ο Μπάιντεν γίνει πρόεδρος των ΗΠΑ και χρηματοδοτήσει τους αντι-Covid γονιδιακούς ορούς της αμερικανικής Big Pharma, οι οποίοι είναι ικανοί να αλλοιώσουν ακόμη και το DNA σύμφωνα με διάφορες μελέτες και ακόμη και με πρόσφατη απόφαση δικαστή στη Φλωρεντία και θεωρούνται “κρατικές δολοφονίες” από ορισμένους Γερμανούς δικαστές.
ΥΛΙΚΑ ΚΑΙ ΜΕΘΟΔΟΙ ΕΡΕΥΝΑΣ
Χρησιμοποιώντας ένα οπτικό μικροσκόπιο σκοτεινού πεδίου, αναλύσαμε τις σταγόνες περιφερικού αίματος από 1.006 άτομα με συμπτώματα μετά το εμβόλιο mRNA (Pfizer ή Moderna), από τον Μάρτιο του 2021. Από τις 1.1006 περιπτώσεις που αναφέρονται εδώ, οι 426 ήταν άνδρες και οι 580 γυναίκες. (Διάγραμμα 1). Η μέση ηλικία των 1006 ατόμων ήταν 49 έτη (από 15 έως 85 έτη – Παράρτημα ΙΙ).
Από τα άτομα που αναλύθηκαν συνολικά, 141 είχαν λάβει μόνο μία δόση, 453 επίσης τη δεύτερη και 412 επίσης την τρίτη.
Η αιμοληψία έγινε με τρύπημα στο δάχτυλο και αναλύθηκε σε μικροσκόπιο σκοτεινού πεδίου με τη χρήση εξοπλισμού ZEISS Primostar και LEITZ Laborlux 12.
Η παρατήρηση του αίματος των ασθενών στο μικροσκόπιο σκοτεινού πεδίου πραγματοποιήθηκε κατά μέσο όρο τριάντα ημέρες μετά τον τελευταίο εμβολιασμό. Για κάθε ασθενή που εξετάστηκε, λήφθηκαν τουλάχιστον 5 και το πολύ 20 φωτογραφίες.
Όλες οι παρατηρήσεις έγιναν σε μεγέθυνση σαράντα (40x). Οι μετρήσεις πραγματοποιήθηκαν με το λογισμικό DeltaPix InSight.
Χάρη στη διαθεσιμότητα των ασθενών 3 και 4, κατέστη δυνατή η εκτάκτως προετοιμασία των αντικειμενοφόρων πλακών απευθείας στο “Εργαστήριο Ηλεκτρονικής Μικροσκοπίας” του Τμήματος Χημείας του Πανεπιστημίου του Τορίνο, οι οποίες προετοιμάστηκαν αμέσως για ανάλυση με ηλεκτρονική μικροσκοπία σάρωσης (SAM) και “φασματοσκοπία ακτίνων Χ ενεργειακής διασποράς” (EDS-EDX) για την καλύτερη αξιολόγηση των μορφολογικών λεπτομερειών των δομών που βρέθηκαν, καθώς και για την ανάλυση της ποσοτικής και ποιοτικής ατομικής τους σύνθεσης.
Θα θέλαμε να τονίσουμε ότι, για την ανάλυση αυτή, κάναμε “τυφλή” χρήση του εξοπλισμού που διαθέτει το “Εργαστήριο Ηλεκτρονικής Μικροσκοπίας” του Τμήματος Χημείας του Πανεπιστημίου του Τορίνο, δηλαδή, αφού υποβάλλαμε επίσημο γραπτό αίτημα να αναλύσουμε δείγματα αίματος, φρέσκες σταγόνες αίματος, στις εγκαταστάσεις τους, χωρίς να δοθεί καμία υπόδειξη για το τι πραγματικά σκοπεύαμε να ελέγξουμε, ώστε να μην επηρεάσουμε με οποιονδήποτε τρόπο τις δραστηριότητες ανάλυσης των τεχνικών μικροσκοπίας.
Το όργανο που χρησιμοποιήθηκε ήταν ένα:
Μικροσκόπιο FE-SEM TESCAN S9000G
Εξοπλισμένο με πηγή εκπομπής πεδίου τύπου Schottky.
Λογισμικό ESSENCE.
Η διακριτική ικανότητα του οργάνου είναι 1 nm στα 15kV.
Για την απόκτηση της μικροανάλυσης EDS χρησιμοποιήθηκε ανιχνευτής OXFORD Ultim Max – λογισμικό AZTEC.
Για τη μεταλλοποίηση των δειγμάτων χρησιμοποιήθηκε ένας διασκορπιστής EMITECH K575X – Pel- tiercooled sputter.
Επισυνάπτεται η ανάλυση SEM (με μελέτη που συνδυάζεται τόσο με την ανάλυση με τον ανιχνευτή ηλεκτρονίων Sekondar (SE), και σε ορισμένες περιπτώσεις επίσης με τον ανιχνευτή ηλεκτρονίων οπισθοσκέδασης (BSE), όσο και με την τεχνολογία EDS (EDX) “ανάλυση των στοιχείων με φασματοσκοπία ακτίνων Χ ενεργειακής διασποράς”) του αίματος δύο ατόμων (περίπτωση n.3 και n.4), που πραγματοποιήθηκε από το Εργαστήριο Ηλεκτρονικής Μικροσκοπίας του Τμήματος Χημείας του Πανεπιστημίου του Τορίνο.
ΓΙΑ ΟΛΗ ΤΗ ΜΕΛΕΤΗ ΠΑΤΗΣΤΕ ΕΔΩ – ΣΤΑ ΙΤΑΛΙΚΑ ΚΑΙ ΣΤΑ ΑΓΓΛΙΚΑ (ΑΠΟ ΣΕΛΙΔΑ 40)









Τετάρτη 3 Αυγούστου ώρα 21:10 μ.μ στο πλαίσιο της εκπομπής “Στην Αιχμή του Δόρατος”, ο Άρης Λαμπρόπουλος, στο studio του e-roi, θα συζητήσει με τον κ. Κωνσταντίνο Αρβανίτη, Δρ Καρδιολογίας με θέμα:
“Κορωνοϊός και εμβόλια: Έγκλημα χωρίς τιμωρία ;”
_________________________________________________________
https://youtu.be/-yWDuy_G6JA?t=48