Οι νεκροψίες εμβολιασμένων απέδειξαν οτι σκοτώνουν τα σκευάσματα τους..Στο Doctors for COVID Ethics (Video)
Επίκληση σε Γιατρούς Δικαστες να αντισταθούν για να σωθούν οι πολίτες...
Στο δεύτερο διαδικτυακό συμπόσιο που οργάνωσε η επιστημονική ομάδα Doctors for COVID Ethics, ο Δρ Σουκαρίτ Μπακντί και ο Δρ Arne Burkhardt παρουσίασαν τα επιστημονικά δεδομένα που αποδεικνύουν ότι τα εμβόλια κατά της COVID-19 είναι:
1ον ΑΧΡΗΣΤΑ
2ον ΕΠΙΚΙΝΔΥΝΑ
Το ότι αυτά τα εμβόλια είναι άχρηστα αποδεικνύεται από τον ίδιο τον τρόπο που λειτουργεί το ανοσοποιητικό μας σύστημα. Συγκεκριμένα, τα εμβόλια που εισάγονται ενδομυϊκά ενεργοποιούν αντισώματα που κυκλοφορούν στη ροή του αίματος και δεν φτάνουν ποτέ στην αναπνευστική οδό, όπου “χτυπάει” ο κορωνοϊός. Η προστασία του οργανισμού από εισβολείς στο αναπνευστικό σύστημα γίνεται με άλλον μηχανισμό του ανοσοποιητικού, ο οποίος δεν μπορεί να ενεργοποιηθεί από τα συγκεκριμένα εμβόλια. Γι’ αυτό τα συγκεκριμένα σκευάσματα δεν μπορούν να αποτρέψουν τη μόλυνση από τον κορωνοϊό και τη μετάδοσή του, κάτι που πλέον είναι κοινώς παραδεκτό.
Ωστόσο, το mRNA των εμβολίων μεταφέρει στα κύτταρα οδηγίες για την κατασκευή της τοξικής πρωτεΐνης ακίδας του κορωνοϊού. Όταν τα κύτταρα αρχίζουν να παράγουν αυτήν την πρωτεΐνη, το ανοσοποιητικό μας την αναγνωρίζει ως ξένο, εχθρικό σώμα και τα φονικά Τ-λεμφοκύτταρα ενεργοποιούνται για να καταστρέψουν τα κύτταρα που την παράγουν.

Οι μεταθανάτιες εξετάσεις έδειξαν χαρακτηριστικές αλλοιώσεις σε όργανα και ιστούς των ασθενών, οι οποίες προκλήθηκαν από μαζική επίθεση των Τ-λεμφοκυττάρων. Οι αλλοιώσεις αυτές συνέβησαν όσο τα άτομα ήταν εν ζωή και όχι μετά τον θάνατό τους και δεν είναι αποτέλεσμα μακρόχρονης νοσηλείας των θανόντων σε ΜΕΘ. Το πιο σημαντικό όμως, είναι ότι αυτές οι μαζικές επιθέσεις των Τ-λεμφοκυττάρων συνέβησαν ταυτόχρονα σε πολλά διαφορετικά όργανα, ένα φαινόμενο που δεν έχει παρατηρηθεί ποτέ ξανά στα ιατρικά χρονικά και γι’ αυτό δεν υπάρχει περιγραφή του στα ιατρικά εγχειρίδια. Συνεπώς, η μόνη λογική ερμηνεία, είναι ότι η αιτία αυτών των βλαβών είναι ο προηγούμενος εμβολιασμός των θανόντων με τα γενετικά σκευάσματα κατά της COVID-19.
Τα ευρήματα των νεκροψιών του Dr Burkhardt είναι η απόδειξη ότι όλες αυτές οι παρενέργειες που αναφέρονται μετά τον εμβολιασμό, και οι θάνατοι που προκαλούνται εξαιτίας τους, έχουν πράγματι την αιτία τους στη δράση του mRNA των εμβολίων. Μετά τη δημοσίευση αυτών των ευρημάτων, κανείς ευσυνείδητος γιατρός ή νοσηλευτής δεν δικαιολογείται να συνεχίζει αμέριμνα τους εμβολιασμούς, “πιστεύοντας” ότι κάνει κάτι καλό για τους ασθενείς του. Ο ιατρικός κόσμος οφείλει να ενημερωθεί και να πάρει θέση, αλλιώς θα βρεθεί υπόλογος για το μεγαλύτερο έγκλημα που έχει διαπραχθεί ποτέ στην ιστορία της ανθρωπότητας!
Ολόκληρο το συμπόσιο των Doctors for COVID Ethics μπορείτε να το παρακολουθήσετε εδώ:
Οι ερευνητές
Ο Dr Sucharit Bhakdi έχει περάσει τη ζωή του ασκώντας, διδάσκοντας και ερευνώντας την ιατρική μικροβιολογία και τις μολυσματικές ασθένειες. Ήταν πρόεδρος του Ινστιτούτου Ιατρικής Μικροβιολογίας και Υγιεινής στο Πανεπιστήμιο Johannes Gutenberg του Mainz, Γερμανία, από το 1990 έως τη συνταξιοδότησή του το 2012. Έχει δημοσιεύσει πάνω από 300 ερευνητικά άρθρα στους τομείς της ανοσολογίας, της βακτηριολογίας, της ιολογίας και της παρασιτολογίας και διετέλεσε από το 1990 έως το 2012 αρχισυντάκτης του περιοδικού Medical Microbiology and Immunology, ενός από τα πρώτα επιστημονικά περιοδικά αυτού του τομέα που ιδρύθηκε από τον Robert Koch το 1887.
Ο Dr. Arne Burkhardt είναι παθολόγος και έχει διδάξει στα Πανεπιστήμια του Αμβούργου, της Βέρνης και του Tübingen. Έχει προσκληθεί ως επισκέπτης καθηγητής στην Ιαπωνία (Πανεπιστήμιο Nihon), στις Ηνωμένες Πολιτείες (Εθνικό Ινστιτούτο Brookhaven), στην Κορέα, στη Σουηδία, στη Μαλαισία και στην Τουρκία. Ήταν επικεφαλής του Ινστιτούτου Παθολογίας στο Reutlingen επί 18 χρόνια. Στη συνέχεια, εργάστηκε ως ανεξάρτητος παθολόγος με συμβάσεις συμβούλου με εργαστήρια στις ΗΠΑ. Ο Burkhardt έχει δημοσιεύσει περισσότερα από 150 επιστημονικά άρθρα σε γερμανικά και διεθνή επιστημονικά περιοδικά, καθώς και συνεισφορές σε εγχειρίδια στα γερμανικά, αγγλικά και ιαπωνικά. Επί σειρά ετών έχει ελέγξει και πιστοποιήσει ιδρύματα παθολογίας στη Γερμανία.
Τα στοιχεία
Παρουσιάζουμε επιστημονικά στοιχεία που απαιτούν την άμεση διακοπή της χρήσης των γονιδιακών εμβολίων COVID-19. Κατ’ αρχάς εκθέτουμε τους λόγους για τους οποίους οι παράγοντες αυτοί δεν μπορούν να προστατεύσουν από την ιογενή λοίμωξη. Ενώ δεν αναμένονται θετικές επιδράσεις, δείχνουμε ότι τα εμβόλια μπορούν να πυροδοτήσουν αυτοκαταστροφικές διαδικασίες που οδηγούν σε εξοντωτικές ασθένειες και θάνατο.
Γιατί τα εμβόλια δεν μπορούν να προστατεύσουν από τη μόλυνση
Ένα θεμελιώδες λάθος που διέπει την ανάπτυξη των εμβολίων COVID-19 ήταν η παράβλεψη της λειτουργικής διάκρισης μεταξύ των δύο κύριων κατηγοριών αντισωμάτων που παράγει ο οργανισμός για να προστατευθεί από τα παθογόνα μικρόβια.
Η πρώτη κατηγορία (εκκριτική IgA) παράγεται από κύτταρα του ανοσοποιητικού συστήματος (λεμφοκύτταρα) τα οποία βρίσκονται ακριβώς κάτω από τις βλεννογόνες μεμβράνες που επενδύουν το αναπνευστικό και το εντερικό σύστημα. Τα αντισώματα που παράγονται από αυτά τα λεμφοκύτταρα εκκρίνονται μέσω και προς την επιφάνεια των βλεννογόνων μεμβρανών. Αυτά τα αντισώματα βρίσκονται έτσι επί τόπου για να συναντήσουν τους ιούς που μεταδίδονται με τον αέρα και μπορεί να είναι σε θέση να αποτρέψουν τη δέσμευση του ιού και τη μόλυνση των κυττάρων.
Η δεύτερη κατηγορία αντισωμάτων (IgG και κυκλοφορούσα IgA) εμφανίζεται στην κυκλοφορία του αίματος. Αυτά τα αντισώματα προστατεύουν τα εσωτερικά όργανα του σώματος από μολυσματικούς παράγοντες που προσπαθούν να εξαπλωθούν μέσω της κυκλοφορίας του αίματος.
Τα εμβόλια που εγχέονται στον μυ – δηλαδή στο εσωτερικό του σώματος – θα προκαλέσουν μόνο IgG και κυκλοφορούσα IgA, όχι εκκριτική IgA. Τέτοια αντισώματα δεν μπορούν και δεν θα προστατεύσουν αποτελεσματικά τους βλεννογόνους από τη μόλυνση από τον SARS-CoV-2. Έτσι, οι παρατηρούμενες σήμερα επιμολύνσεις (“breakthrough infections”) μεταξύ εμβολιασμένων ατόμων απλώς επιβεβαιώνουν τις θεμελιώδεις σχεδιαστικές ατέλειες των εμβολίων. Οι μετρήσεις των αντισωμάτων στο αίμα δεν μπορούν ποτέ να δώσουν πληροφορίες για την πραγματική κατάσταση της ανοσίας έναντι της λοίμωξης της αναπνευστικής οδού.
Η αδυναμία των αντισωμάτων που προκαλούνται από τα εμβόλια να αποτρέψουν τις λοιμώξεις από κοροναϊούς έχει αναφερθεί σε πρόσφατες επιστημονικές δημοσιεύσεις.
Τα εμβόλια μπορούν να προκαλέσουν αυτοκαταστροφή
Μια φυσική λοίμωξη με SARS-CoV-2 ( κορωνοϊό) θα παραμείνει στα περισσότερα άτομα εντοπισμένη στην αναπνευστική οδό. Αντίθετα, τα εμβόλια προκαλούν τα κύτταρα βαθιά μέσα στο σώμα μας να εκφράζουν την πρωτεΐνη ακίδα του ιού, κάτι που δεν ήταν ποτέ προορισμένα να κάνουν από τη φύση. Κάθε κύτταρο που εκφράζει αυτό το ξένο αντιγόνο θα δεχθεί επίθεση από το ανοσοποιητικό σύστημα, η οποία θα περιλαμβάνει τόσο αντισώματα IgG όσο και κυτταροτοξικά Τ-λεμφοκύτταρα. Αυτό μπορεί να συμβεί σε οποιοδήποτε όργανο. Βλέπουμε τώρα ότι η καρδιά προσβάλλεται σε πολλούς νέους ανθρώπους, οδηγώντας σε μυοκαρδίτιδα ή ακόμη και σε αιφνίδια καρδιακή ανακοπή και θάνατο. Το πώς και γιατί τέτοιες τραγωδίες μπορεί να συνδέονται αιτιωδώς με τον εμβολιασμό έχει παραμείνει θέμα εικασιών, διότι δεν υπάρχουν επιστημονικά στοιχεία. Το πρόβλημα αυτό έχει πλέον διορθωθεί.
- Πριν από τον θάνατο, μόνο 4 από τους 15 ασθενείς είχαν νοσηλευτεί στη ΜΕΘ για περισσότερες από 2 ημέρες. Η πλειονότητα δεν είχε νοσηλευτεί ποτέ και πέθανε στο σπίτι (5), στο δρόμο (1), στη δουλειά (1), στο αυτοκίνητο (1) ή σε οίκο ευγηρίας (1). Ως εκ τούτου, στις περισσότερες περιπτώσεις, η θεραπευτική παρέμβαση είναι απίθανο να έχει επηρεάσει σημαντικά τα μεταθανάτια ευρήματα.
- Για κανένα θάνατο δεν διαπιστώθηκε οποιαδήποτε πιθανή συσχέτιση με τον εμβολιασμό από τον ιατροδικαστή ή τον εισαγγελέα – η συσχέτιση αυτή διαπιστώθηκε μόνο από τα ευρήματα της αυτοψίας μας.
- Ούτε οι συμβατικές νεκροτομές που διενεργήθηκαν αρχικά αποκάλυψαν προφανείς ενδείξεις για πιθανό ρόλο του εμβολιασμού, καθώς η μακροσκοπική εμφάνιση των οργάνων σε γενικές γραμμές δεν παρουσίαζε κάτι αξιοσημείωτο. Στις περισσότερες περιπτώσεις, ως αιτία θανάτου υποστηρίχθηκε η “ρυθμογενής καρδιακή ανεπάρκεια”.
Όμως οι επακόλουθες ιστοπαθολογικές αναλύσεις μας έφεραν την πλήρη ανατροπή. Ακολουθεί περίληψη των βασικών ευρημάτων.
Ιστοπαθολογικές εξετάσεις: ευρήματα
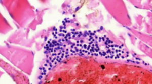
Ιστοπαθολογικά ευρήματα παρόμοιας φύσης εντοπίστηκαν σε όργανα σε 14 από τους 15 θανόντες. Πιο συχνά προσβλήθηκαν η καρδιά (14 από τις 15 περιπτώσεις) και ο πνεύμονας (13 από τις 15 περιπτώσεις). Παθολογικές αλλοιώσεις παρατηρήθηκαν επιπλέον στο ήπαρ (2 περιπτώσεις), στον θυρεοειδή αδένα (θυρεοειδίτιδα Hashimoto, 2 περιπτώσεις), στους σιελογόνους αδένες (σύνδρομο Sjögren, 2 περιπτώσεις) και στον εγκέφαλο (2 περιπτώσεις).
Σε όλους τους προσβεβλημένους ιστούς όλων των περιπτώσεων κυριαρχούσαν ορισμένα σημαντικά χαρακτηριστικά:
- φλεγμονώδεις εκδηλώσεις σε μικρά αιμοφόρα αγγεία (ενδοθηλίτιδα), που χαρακτηρίζονται από πληθώρα Τ-λεμφοκυττάρων και απομονωμένα, νεκρά ενδοθηλιακά κύτταρα εντός του αυλού του αγγείου,
- την εκτεταμένη περιαγγειακή συσσώρευση Τ-λεμφοκυττάρων,
- μαζική λεμφοκυτταρική διήθηση των γειτονικών μη λεμφικών οργάνων ή ιστών με Τ-λεμφοκύτταρα.
Η λεμφοκυτταρική διήθηση εμφανιζόταν περιστασιακά σε συνδυασμό με έντονη λεμφοκυτταρική ενεργοποίηση και σχηματισμό ωοθυλακίων. Όπου αυτά υπήρχαν, συνήθως συνοδεύονταν από καταστροφή των ιστών.
Αυτός ο συνδυασμός πολυεστιακής παθολογίας με κυρίαρχη την παρουσία Τ-λεμφοκυττάρων, που αντικατοπτρίζει σαφώς τη διαδικασία ανοσολογικής αυτοεπίθεσης, δεν έχει προηγούμενο. Επειδή ο εμβολιασμός ήταν ο μοναδικός κοινός παρονομαστής μεταξύ όλων των περιπτώσεων, δεν υπάρχει καμία αμφιβολία ότι ήταν το έναυσμα της αυτοκαταστροφής σε αυτά τα θανόντα άτομα.
Συμπέρασμα
Η ιστοπαθολογική ανάλυση δείχνει σαφείς ενδείξεις αυτοάνοσης παθολογίας που προκαλείται από το εμβόλιο σε πολλαπλά όργανα. Είναι αυτονόητο ότι μυριάδες ανεπιθύμητες ενέργειες που απορρέουν από τέτοιες διεργασίες αυτοεπιθέσεων πρέπει να αναμένονται πολύ συχνά σε όλα τα άτομα, ιδίως μετά από ενισχυτικές δόσεις.
Πέραν πάσης αμφιβολίας, η έγχυση γονιδιακών εμβολίων COVID-19 θέτει ζωές υπό την απειλή ασθένειας και θανάτου. Σημειώνουμε ότι τόσο τα εμβόλια που βασίζονται σε mRNA όσο και τα εμβόλια που βασίζονται σε ιικούς φορείς περιλαμβάνονται σε αυτές τις περιπτώσεις, καθώς και οι τέσσερις μεγάλοι κατασκευαστές.
Πηγή: mandataapoekso.blogspot.com/Doctors for COVID Ethics









Θάνατος από τα εμβόλια..Συνέντευξη τύπου Γερμανών παθολόγων (Video)
https://amazonios.net/thanatos-apo-ta-emvolia-synenteyxi-typoy-germanon-pathologon-video/
============
Διεθνές Επιστημονικό Συμπόσιο με Σουχαρίτ Μπαχτί, Mike Yeadon,
ΔEITE TO ΣΤΑ ΕΛΛΗΝΙΚΑ
https://www.facebook.com/diktioellinon/videos/194154289574721/